CASOS DE ESTUDIO PARA RADIOLOGOS
BRONQUIECTASIAS Y BULAS ENFISEMATOSAS
Hill-Sachs lesion
MSc. Luis Roberto Orozco (1)
Msc. Dr. Eric Eduardo Maldonado Muñoz(2)
PREFACIO
Las bronquiectasias y las bulas enfisematosas representan dos caras de un mismo problema: el daño crónico y estructural del pulmón. Las primeras, definidas por una dilatación irreversible de los bronquios junto a inflamación persistente, infección crónica e imposibilidad de limpiar adecuadamente las secreciones, se han consolidado como una enfermedad compleja y heterogénea que va mucho más allá de una simple “secuela de infecciones”. Las segundas, las bulas enfisematosas, son el resultado extremo de la destrucción de los espacios aéreos distales, generando cavidades aéreas mayores de 1 cm que distorsionan la arquitectura pulmonar y condicionan atrapamiento aéreo, disnea y riesgo de neumotórax espontáneo.
En la práctica clínica, no es raro que ambas entidades coexistan, especialmente en el contexto de EPOC y de solapamiento bronquiectasias–EPOC, lo que complica el cuadro funcional y radiológico del paciente. Las bronquiectasias favorecen la infección y la inflamación crónica de la vía aérea; las bulas enfisematosas reducen el área de intercambio gaseoso y pueden comprimir parénquima sano. Juntas, construyen un escenario donde la tomografía computarizada de alta resolución (TCAR) se convierte en la piedra angular para caracterizar la extensión, el patrón y las complicaciones asociadas, guiando tanto el tratamiento médico como las intervenciones más avanzadas.
En los últimos años se han publicado revisiones y series de casos que actualizan nuestro entendimiento de estas entidades: desde revisiones de bronquiectasias centradas en fenotipos, microbiología y medicina de precisión, hasta informes sobre nuevas técnicas mínimamente invasivas para el manejo de bulas enfisematosas gigantes, como la aspiración percutánea guiada por TC con escleroterapia o la reducción de volumen percutánea combinada con oclusión broncoscópica. Estas estrategias emergentes abren ventanas de oportunidad para pacientes de alto riesgo quirúrgico, pero exigen del radiólogo una interpretación exquisita de la anatomía y la fisiopatología subyacentes.
Con esta edición de la revista IDES, dedicada a bronquiectasias y bulas enfisematosas, queremos ofrecer una mirada integrada de la imagen y la clínica. Nuestro propósito es que las páginas que siguen ayuden al lector a: reconocer patrones tomográficos clave, entender la interacción entre destrucción parenquimatosa y remodelado de la vía aérea, identificar cuándo una bula deja de ser solo un hallazgo y se convierte en un problema hemodinámico o ventilatorio, y, sobre todo, consolidar el rol del radiólogo como parte activa del equipo multidisciplinario que decide el mejor camino terapéutico. En un pulmón marcado por cicatrices y aire atrapado, cada corte de TC es una oportunidad para aportar claridad, evitar intervenciones innecesarias y orientar estrategias que realmente cambien la historia natural de la enfermedad.
PREFACE
Bronchiectasis and bullous emphysema represent two different expressions of the same underlying reality: chronic, irreversible structural damage to the lung. Bronchiectasis, defined by permanent bronchial dilatation together with persistent inflammation, chronic infection and impaired mucociliary clearance, is now recognized as a complex, heterogeneous disease rather than a simple “post-infectious sequel.” Bullous emphysema, in contrast, reflects extreme parenchymal destruction, with air-filled spaces larger than 1 cm that distort lung architecture, promote air trapping, cause dyspnea and increase the risk of spontaneous pneumothorax.
In daily practice, the coexistence of bronchiectasis and emphysematous bullae is not uncommon, particularly in patients with COPD and bronchiectasis–COPD overlap. Bronchiectasis drives chronic airway infection and inflammation; bullae reduce the effective gas-exchange surface and may compress relatively preserved lung. Together, they create a complex functional and radiologic scenario in which high-resolution computed tomography (HRCT) becomes the cornerstone for assessing disease extent, patterns and complications, and for guiding both medical therapy and advanced interventions.
Recent reviews and case series have updated our understanding of these entities: from modern bronchiectasis reviews focusing on phenotyping, microbiology and precision medicine, to reports of novel minimally invasive approaches for giant emphysematous bullae—such as CT-guided percutaneous aspiration with sclerotherapy or combined percutaneous volume reduction and bronchoscopic occlusion. These emerging strategies open new therapeutic avenues for surgically high-risk patients, but they also demand highly accurate radiologic assessment of underlying anatomy and pathophysiology.
With this issue of IDES, devoted to bronchiectasis and emphysematous bullae, we aim to provide an integrated clinical and imaging perspective. We hope the following pages will help readers: recognize key CT patterns, understand the interplay between parenchymal destruction and airway remodeling, identify when a bulla is no longer an incidental finding but a true ventilatory or hemodynamic problem, and, above all, reinforce the radiologist’s role as an active member of the multidisciplinary team deciding the best therapeutic pathway. In lungs shaped by scars and trapped air, every CT slice is an opportunity to bring clarity, avoid unnecessary interventions and support strategies that truly alter the natural history of disease.
PALABRAS CLAVE
Bronquiectasias; Bulas enfisematosas; Tomografía computarizada de alta resolución (TCAR)
KEYWORDS
Bronchiectasis; Emphysematous bullae; High-resolution computed tomography (HRCT)
HISTORIA DEL PACIENTE
Paciente de sexo masculino, con historia de tos persistente de hace mas o menos 4 meses de evolución, no refiere fiebre, trauma.
TECNICA EMPLEADA
Se coloca al paciente en posición decúbito supino sobre la mesa de tomografía, se le solicita que suba los brazos hacia arriba de la cabeza, se le da las instrucciones para la respiración, se realizan cortes con grosor de 3.75 y un pitch de 1.7, realizando reconstrucciones retrospectivas en diferente plano, diferente grosor utilizando diferentes opciones de software que nos presenta el equipo.
HALLAZGOS IMAGENOLOGICOS
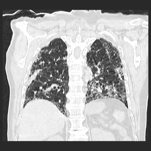
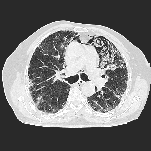
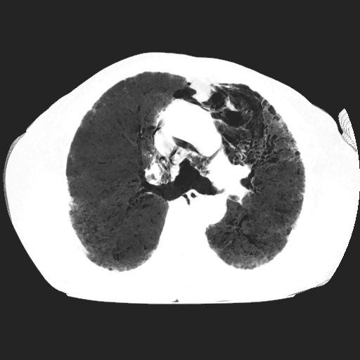
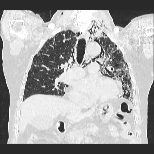
El parénquima pulmonar izquierdo muestra un infiltrado intersticial difuso que causa engrosamiento del septum axial, además del fenómeno de bronquiectasias quísticas se observan pequeñas bulas enfisematosas de localización subpleural que compromete ambas bases pulmonares.
Se observan imágenes de vidrio despulido en todo el lóbulo inferior izquierdo, el cual compromete los segmentos de la língula del segmento superior y medio
El parénquima pulmonar derecho muestra infiltrado intersticial en imagen de vidrio despulido con evidencia de lesiones subpleurales que representan bullas enfisematosas de diferentes tamaños.
Al utilizar un contraste Minip, se observan bronquiectasias cilíndricas en el extremo del lóbulo superior derecho, observándose un patrón de panal de abeja situada en la región apical del lóbulo superior izquierdo.


Bronquiectasias cilíndricas, bullas enfisematosas basales bilaterales
Perlas diagnósticas en bronquiectasias
1. La TCAR es el estándar de oro
La tomografía computarizada de alta resolución, con cortes finos (1–1,25 mm), es la prueba de elección para diagnosticar bronquiectasias; la radiografía simple tiene baja sensibilidad y no permite caracterizar adecuadamente el patrón ni la extensión. ScienceDirect+2La Clinica Terapeutica+2
2. “Signet-ring sign” y falta de afilamiento: los signos más sensibles
El criterio clave es que el diámetro interno bronquial sea mayor que el de la arteria acompañante (signo del “anillo de sello”) y la ausencia de afilamiento progresivo del bronquio en al menos 2 cm desde la bifurcación, con bronquios visibles a menos de 1 cm de la pleura. Estos hallazgos son altamente sensibles para bronquiectasia. publications.ersnet.org+3Radiopaedia+3Bronchiectasis+3
3. Diferenciar bronquiectasia verdadera de dilatación reversible
No toda dilatación bronquial es definitiva: infecciones agudas pueden producir cambios transitorios. La persistencia de la dilatación en controles seriados, la afectación de múltiples bronquios contiguos y la correlación con clínica crónica (tos productiva, exacerbaciones repetidas) refuerzan el diagnóstico de bronquiectasia estructural. ScienceDirect+2PMC+2
4. Mirar más allá de la luz: pared, secreciones y parénquima
El engrosamiento de la pared bronquial, el impacto mucoso que rellena la luz (“finger-in-glove”), el patrón de árbol en gemación (tree-in-bud) y las opacidades en vidrio esmerilado o consolidaciones peribronquiales son marcadores de inflamación activa e infección. Su presencia se asocia a mayor carga bacteriana y peor pronóstico clínico. PMC+2CNIB+2
5. El solapamiento bronquiectasias–EPOC cambia el pronóstico
En pacientes con EPOC, la identificación de bronquiectasias en la TC define un fenotipo de mayor gravedad, con más exacerbaciones, hospitalizaciones y peor supervivencia. Por ello, es fundamental que el informe radiológico señale explícitamente la presencia, extensión y distribución de las bronquiectasias. SAGE Journals+3PubMed+3atsjournals.org+3
Perlas diagnósticas en bullas enfisematosas
1. Definición radiológica precisa
Una bula es un espacio aéreo mayor de 1 cm de diámetro, con pared delgada menor a 1 mm, dentro del parénquima pulmonar, resultado de la destrucción enfisematosa distal al bronquiolo terminal. Diferenciarla de blebs subpleurales pequeños y de quistes es esencial para un informe correcto. PubMed+2MD Searchlight+2
2. Las “giant bullae” son una entidad propia
Se consideran bulas gigantes aquellas que ocupan al menos un tercio del hemitórax y comprimen de forma significativa el parénquima adyacente. La TC permite medir con precisión su tamaño, volumen y efecto de masa, información crítica para planificar bullectomía, reducción de volumen o técnicas percutáneas guiadas por imagen. PubMed+2MD Searchlight+2
3. Bula vs neumotórax: error diagnóstico frecuente en RX
En la radiografía de tórax, una bula gigante puede simular un neumotórax. La TC resuelve la duda mostrando paredes finas, septos internos y la continuidad de la pleura visceral, evitando la colocación innecesaria de tubos de drenaje en espacios bullosos que no son verdaderos espacios pleurales. PubMed+2SciELO Perú+2
4. Contexto enfisematoso y comorbilidades
La mayoría de los pacientes con bulas enfisematosas presentan enfisema difuso (centrilobulillar, panlobulillar o paraseptal); además, pueden coexistir bronquiectasias y otras formas de remodelado broncopulmonar. Esta combinación empeora la obstrucción al flujo aéreo y se asocia a mayor riesgo de exacerbaciones y complicaciones. PubMed+2CHEST Physician+2
5. De hallazgo incidental a objetivo terapéutico
No todas las bulas requieren tratamiento, pero en pacientes con disnea desproporcionada, compresión de parénquima sano o episodios de neumotórax, la bula se convierte en un blanco terapéutico. Los casos recientes de reducción de bulas gigantes mediante aspiración percutánea y escleroterapia guiada por TC muestran que la imagen no solo diagnostica, sino que también dirige intervenciones menos invasivas para pacientes de alto riesgo quirúrgico. PubMed+2Frontiers+2
Las bronquiectasias se entienden hoy como una enfermedad respiratoria crónica e inflamatoria, definida por una dilatación bronquial permanente e irreversible asociada a un síndrome clínico de tos crónica, expectoración y exacerbaciones recurrentes. El proceso fisiopatológico central se explica mediante el clásico concepto del “círculo vicioso” : un daño inicial de la vía aérea (infecciones graves, aspiración, inmunodeficiencias, enfermedades sistémicas, alteraciones genéticas como FQ o discinesia ciliar) altera el aclaramiento mucociliar; esto favorece la infección crónica, que a su vez perpetúa la inflamación y el remodelado estructural del bronquio.
En la pared bronquial se observa una inflamación crónica predominantemente neutrofílica, aunque en muchos pacientes coexisten distintos fenotipos inflamatorios (neutrofílico, eosinofílico, mixto), vinculados a la microbiota y a la respuesta inmune del huésped. La liberación sostenida de proteasas, radicales libres y mediadores inflamatorios daña el epitelio, destruye fibras elásticas y musculares de la pared bronquial y aumenta la producción de moco, alterando todavía más el transporte mucociliar. El resultado es un bronquio dilatado, con pared engrosada, incapaz de movilizar secreciones de forma eficaz.
La infección bronquial crónica es un pilar de la fisiopatología. Bacterias como Pseudomonas aeruginosa, Haemophilus influenzae y micobacterias no tuberculosas forman biopelículas que protegen a los microorganismos de la respuesta inmune y de los antibióticos, manteniendo una inflamación de bajo grado, pero constante.
Esta infección persistente se asocia a más exacerbaciones, declive acelerado de la función pulmonar y peor pronóstico.
Con el tiempo, la combinación de remodelado bronquial, destrucción parenquimatosa adyacente y atrapamiento aéreo conduce a una obstrucción crónica al flujo aéreo, hiperinflación y desajuste ventilación/perfusión. Esto explica la progresión hacia limitación al ejercicio, hipoxemia e hipertensión pulmonar en fases avanzadas. En el contexto de solapamiento bronquiectasias–EPOC, este mecanismo se potencia, generando un fenotipo de alta carga sintomática y mayor riesgo de eventos cardiovasculares y respiratorios.
Fisiopatología de las bullas enfisematosas
Las bulas enfisematosas son la expresión morfológica extrema de la destrucción enfisematosa del parénquima pulmonar. En el enfisema, la exposición crónica a agentes nocivos (principalmente humo de tabaco, pero también biomasa, contaminantes o déficits genéticos como la deficiencia de alfa-1 antitripsina) provoca inflamación persistente de los espacios aéreos distales. Esta inflamación se asocia a un desequilibrio proteasa/antiproteasa y a estrés oxidativo, que destruyen las paredes alveolares y la “malla” elástica que mantiene la arquitectura pulmonar.
Cuando estas áreas de destrucción coalescen, se forman espacios aéreos mayores de 1 cm de diámetro, con paredes muy finas, conocidos como bulas. Al perderse septos alveolares y capilares, disminuye la superficie efectiva de intercambio gaseoso, mientras que el tejido residual, hiperextendido, contribuye al atrapamiento aéreo y a la hiperinflación.
En las bulas gigantes, que pueden ocupar más de un tercio del hemitórax, el efecto de masa comprime el parénquima sano adyacente, empeorando de forma desproporcionada la mecánica ventilatoria y la oxigenación.
La fisiopatología de las bulas enfisematosas también explica el riesgo elevado de neumotórax espontáneo. La delgadez extrema de la pared bullosa la hace susceptible a rotura, permitiendo la fuga de aire hacia el espacio pleural. Este fenómeno es especialmente relevante en el llamado enfisema bulloso gigante o “síndrome de pulmón evanescente”, descrito con mayor frecuencia en varones jóvenes fumadores, donde la rotura de una bulla puede simular radiológicamente un neumotórax a tensión y requerir decisiones terapéuticas urgentes.
En pacientes con EPOC avanzado, las bulas enfisematosas no sólo son un marcador de destrucción parenquimatosa severa, sino también un potencial objetivo terapéutico. La identificación precisa de su tamaño, localización y relación con el parénquima funcionante permite seleccionar candidatos para bullectomía, procedimientos de reducción de volumen o técnicas percutáneas y endoscópicas emergentes. Desde la perspectiva fisiopatológica, el objetivo de estas intervenciones es disminuir la hiperinflación, liberar parénquima comprimido y mejorar la eficiencia mecánica del diafragma y de la pared torácica.
- 1. • Raboso, B., Pou, C., Abril, R., et al.Bronchiectasis / Bronquiectasias. Open Respiratory Archives, 6(3), 100339. 2025. Revisión moderna sobre bronquiectasias, diagnóstico por TC y nuevas herramientas (IA, RM, TC de dosis ultrabaja).
- 2. • Jiang, R., Yao, A. J., Wang, Y. Q., et al.Annual review of bronchiectasis 2024. 2025. Zhonghua Jie He He Hu Xi Za Zhi, 48(2), 158–163. Revisión anual de avances en bronquiectasias (epidemiología, microbiología, patogénesis y tratamiento).
- 3. • Alam, M. A., Mangapuram, P., Fredrick, F. C., et al. Bullous Emphysema. 2024. En: StatPearls [Internet]. Treasure Island (FL): StatPearls Publishing. Revisión clínica y radiológica actual de enfisema bulloso, con énfasis en el rol de la TC y manejo médico–quirúrgico.
-
4. • Siddiqui, N. A., et al. Magnetic resonance cholangiopancreatography: the ABC of MRCP.
2012.Insights into Imaging, 3, 11–21.
Revisión didáctica sobre MRCP; incluye un apartado específico de anatomía biliar postquirúrgica y complicaciones, donde se describe el papel de la MRCP para valorar anastomosis bilioentéricas, estenosis y dilatación de la vía biliar intrahepática.
5. • Li, C., Hu, X., Jiang, G., and Jiang, Y. L. Case Report: A case of giant emphysematous bullae successfully treated with percutaneous aspiration and sclerotherapy for staged reduction of pulmonary bullae. 2025.Frontiers in Medicine, 12, 1693942. Caso reciente de manejo mínimamente invasivo de bulas enfisematosas gigantes guiados por TC.
-
(1) Magister en Dirección y producción de e-Learning, Licenciado en Pedagogía, Diplomado Resonancia Magnética, Universidad Pontificia Católica de Chile, Técnico Universitario en Radiología e Imágenes Diagnósticas, coordinador página web idesxela.com, docente universitario.
(2) Magister en Imágenes Diagnosticas, Magister en educación superior, Coordinador rotación estudiantes de medicina Facultad de Medicina Universidad Mesoamericana, sede Quetzaltenango, área de bio imágenes. Coordinador residencia de radiología Hospital Regional de Occidente, Universidad de San Carlos de Guatemala, Docente Universitario.







